Join 68,000+ Looksmaxxing Members!

Register a FREE account today to become a member. Once signed in, you'll be able to participate on this site by adding your own topics and posts, as well as connect with other members through your own private inbox.

  • DISCLAIMER: DO NOT ATTEMPT TREATMENT WITHOUT LICENCED MEDICAL CONSULTATION AND SUPERVISION

    This is a public discussion forum. The owners, staff, and users of this website ARE NOT engaged in rendering professional services to the individual reader. DO NOT use the content of this website as an alternative to personal examination and advice from licenced healthcare providers. DO NOT begin, delay, or discontinue treatments and/or exercises without licenced medical supervision. Learn more

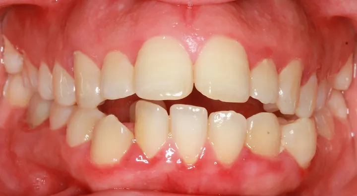
Info very good results with MSE

danny deVitocel

Dogvito
Established
Joined
Jul 17, 2019
Messages
633
Reputation
360
Location
Dogville
if you have bad transverse maxillary deficiency then definitely look into it. i want to try and get this however i dont know if i'll be eligible seeing as how my lower arch is like 10mm smaller than my maxillary arch.

87f545_bc43680091984bbdb74de17eb337bbfd~mv2_d_1920_1280_s_2.webp
87f545_f42d29ecf80a4b9fa8b3f13471579528~mv2_d_1920_1280_s_2.webp
87f545_1c85956a5c2243d1acfc7176f18e69a7~mv2_d_1920_1280_s_2.webp






87f545_91b464f1d91749a39ae126d3341b6d30~mv2.webp
87f545_a803ac54dd7a464fa7fc07f464663fa4~mv2.webp
87f545_9e1e8e716cba47ce8c7049e43cac5b25~mv2.webp
87f545_26cb7283324c48dc989761db35074e2e~mv2.webp






87f545_04330f30f3664262837a5b1d1ab83904~mv2.webp
87f545_dd910b5be2d34e6f8fc8e25643598215~mv2.webp
87f545_a4fd7c4a6076412990d9aa658e66d587~mv2.webp
87f545_58b22f94322f4b809c82668881422f1a~mv2.webp





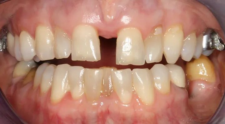
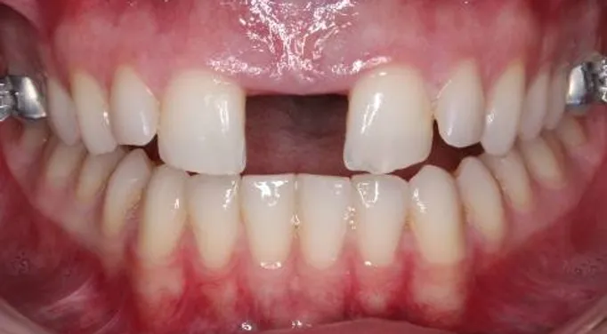
look how the maxilla was ripped apart on this one holy chit


87f545_d7936a460087402aa60d9ba12e50f299~mv2.webp
87f545_08d873a0203e4e75bbc578f110b91168~mv2.webp
87f545_45c9cfb2bc0044c69a03db3019f6e2b8~mv2.webp
87f545_f01fcf9eda65474a8079bf369e1f99fa~mv2.webp
87f545_b0bc648a650548239fa8ff2d5fa55498~mv2_d_1874_1640_s_2.webp
87f545_d3308df0e42343818992049c79295acb~mv2.webp
 
Register to hide this ad
so at what width you would consider that expansion? On my 3rd teeth there are 38mm diffrence (inside) on 8th there is 50mm smile is showing 7teeth front
 
so at what width you would consider that expansion? On my 3rd teeth there are 38mm diffrence (inside) on 8th there is 50mm smile is showing 7teeth front
its quite a bit, probably like 8mm expansion. wdy mean 3rd teeth? imw is typically measured between first molars
 
Idk what that means but i have probably have it my maxilla and entire face is receeded a mile back
 

Users who are viewing this thread

Back
Top