- Joined
- Aug 19, 2020
- Messages
- 17,175
- Time Online
- 9d 22h
- Reputation
- 49,173
- Guild
- EMBER
“Joke”its a joke
unexpired means you're over 18
Follow along with the video below to see how to install our site as a web app on your home screen.
Note: This feature may not be available in some browsers.
“Joke”its a joke
unexpired means you're over 18
You’re not a pee dough?im not a pedo![]()
n***a you were a part of the jokeThis man’s thread really turned into a joke, yall should be ashamed!!!
yeah i just read his comment now, ideally he should get a palate expander and then braces with elasticsBut how is palatal expansion going to move his maxilla forward (again he claims to have overbite which would not indicate maxillary recession)
My ratings were from the heart thoughn***a you were a part of the joke
That still isn’t gonna completely help him. I think Brianna’s advice was truly the best, he could do those things + your adviceyeah i just read his comment now, ideally he should get a palate expander and then braces with elastics
You are not that uglyCan someone give me a honest rating based on looks
Depends, if he's young and his jaws are still growing it could be very effectiveThat still isn’t gonna completely help him. I think Brianna’s advice was truly the best, he could do those things + your advice
AgreedDepends, if he's young and his jaws are still growing it could be very effective
Stop this copeHey thanks for the feedback guys, even though some of them aren’t nice I truly appreciate the feedback. I’m trying to get a palate expander to bring my upper jaw foward and achieve foward projection of my lower jaw since my maxilla is recessed which causes a sunken midface.
I’m 6’2Stop this cope
get a lefort 3 ,a rhino and a LL if you are eventually short
I agree. I was thinking the same thingyeah i just read his comment now, ideally he should get a palate expander and then braces with elastics
The overbite isn’t bad and I never claimed it had anything to do with my maxilla being recessed.But how is palatal expansion going to move his maxilla forward (again he claims to have overbite which would not indicate maxillary recession)
If you have an overbite that means your maxilla is in front of the mandible, therefore the maxilla isn’t recessedThe overbite isn’t bad and I never claimed it had anything to do with my maxilla being recessed.
It would I would push the upper jaw foward which would give more under eye support because I have a sunken mid face and better jaw projectionPalate expander isn’t gonna solve your issues tbh
an overbite doesn't guarantee that the maxilla isn't recessed, both jaws could be misalignedIf you have an overbite that means your maxilla is in front of the mandible, therefore the maxilla isn’t recessed
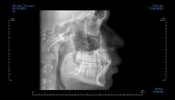
You don’t look like you have an overbite to my in these scansThis is from a CBCT scan
FYI your name is in the top left corner may want to redact thatThis is from a CBCT scan
i agree, or it's at most a very slight overbiteYou don’t look like you have an overbite to my in these scans
It is… humans are supposed to have slight overbite, like 3-4mm of overlap with front incisors over bottom incisors. His teeth look decent too… I can’t tell if the photo of his skull was not oriented properly or if he has a cant?i agree, or it's at most a very slight overbite
Nah it’s fineFYI your name is in the top left corner may want to redact that
have you consulted an orthodontist about treatment? if so, what did they sayNah it’s fine
The CBCT I sent where from a orthodontic agency but their sales representative just wanted to money grift me and hook in on a almost5k invaslign plan which wouldn’t help with skeletal expansionhave you consulted an orthodontist about treatment? if so, what did they say
What is your intermolar width?The CBCT I sent where from a orthodontic agency but their sales representative just wanted to money grift me and hook in on a almost5k invaslign plan which wouldn’t help with skeletal expansion
I’m not sure have to consult a orthodontistWhat is your intermolar width?
realistically speaking, your bite is pretty good so getting such heavy treatment could easily make your skeletal imbalance look worse + the reason why your midface appears "sunken" is because your infras are recessed, your zygo projection is good thoThe CBCT I sent where from a orthodontic agency but their sales representative just wanted to money grift me and hook in on a almost5k invaslign plan which wouldn’t help with skeletal expansion
Which is tied to the maxilla, so if I could protrude its projection I def can hit HTN statusrealistically speaking, your bite is pretty good so getting such heavy treatment could easily make your skeletal imbalance look worse + the reason why your midface appears "sunken" is because your infras are recessed, your zygo projection is good tho
@twinkdestroyer thoughtsWhich is tied to the maxilla so if I could protrude its perfection I def can hit HTN status
htn in mumbai@twinkdestroyer thoughts
bro forgot to tag anyonethoughts?
it would be unnecessary and you could risk altering your bite since u don't have a functional problemWhich is tied to the maxilla, so if I could protrude its projection I def can hit HTN status
I want youit would be unnecessary and you could risk altering your bite since u don't have a functional problem
@twinkdestroyer thoughts?I want you
Sad thing is too, if you have normal bite before jaw surgery, it’s possible you will spend the rest of your life trying to chase it again after jaw surgery. Someone in jaw surgery sub told me that they can’t guarantee bite is same as it was before in some casesit would be unnecessary and you could risk altering your bite since u don't have a functional problem
The one thing is looking at the frontal view of his x-ray, it appears his facial midline may be off, but I can’t say for surerealistically speaking, your bite is pretty good so getting such heavy treatment could easily make your skeletal imbalance look worse + the reason why your midface appears "sunken" is because your infras are recessed, your zygo projection is good tho